Type tag: to add tag filters
Recent Images
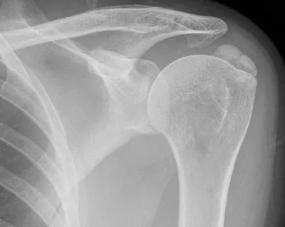
6 imagesCalcific tendinopathy of supraspinatus
XRAYShoulder
2/13/2026
Torn long head of biceps femoris - BAMIC grade 4
MRIAxialThigh+1
2/10/2026
Petrous temporal bone fracture (left)
CTAxialHead+4
2/6/2026
Disc osteophyte protrustion C5-C6
MRISagittalCervical Spine+1
2/6/2026
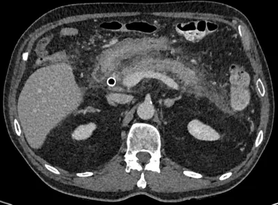
Pancreatitis post ERCP
CTAbdomenAxial+3
2/5/2026
Torn PCL
MRISagittalKnee+1
2/4/2026