pacs.to
Sign In
Sign Up
Home
/
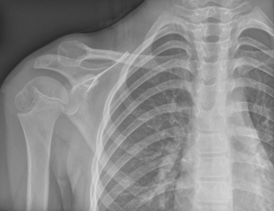
Aneurysmal Bone Cyst (ABC) of Clavicle