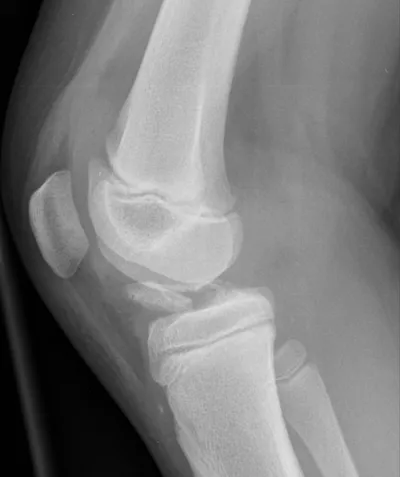
Lipohaemarthrosis Radiology Images

Browse 1 medical image tagged with lipohaemarthrosis. This collection includes various imaging modalities for medical education and reference.

Lipohaemarthrosis Clear all

Type tag: to add tag filters

Filtering by:LipohaemarthrosisClear

tagged: Lipohaemarthrosis

1 image

About Lipohaemarthrosis Imaging

What types of images are in this collection?
This collection contains 1 radiology images related to lipohaemarthrosis, including various imaging modalities such as X-rays, MRIs, CT scans, and ultrasound images commonly used in medical diagnosis and education.
Who can use these images?
These images are available for medical professionals, students, educators, and researchers for educational and reference purposes. Always verify clinical decisions with qualified healthcare providers.