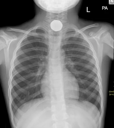
Esophageal Foreign Body Radiology Images

Browse 1 medical image tagged with esophageal foreign body. This collection includes various imaging modalities for medical education and reference.

Esophageal Foreign Body Clear all

Type tag: to add tag filters

Filtering by:Esophageal Foreign BodyClear

tagged: Esophageal Foreign Body

1 image

About Esophageal Foreign Body Imaging

What types of images are in this collection?
This collection contains 1 radiology images related to esophageal foreign body, including various imaging modalities such as X-rays, MRIs, CT scans, and ultrasound images commonly used in medical diagnosis and education.
Who can use these images?
These images are available for medical professionals, students, educators, and researchers for educational and reference purposes. Always verify clinical decisions with qualified healthcare providers.