pacs.to
Sign In Sign Up
  1. Home
  2. /
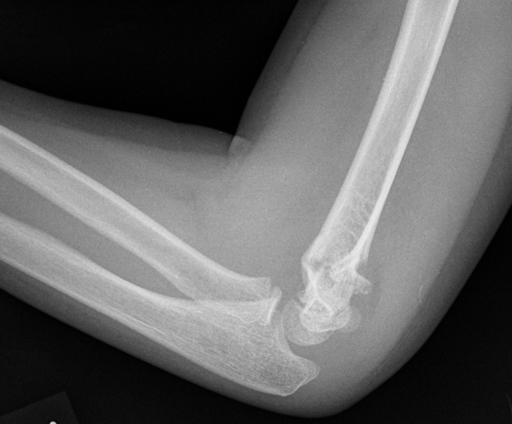
  3. Supracondylar fracture of elbow