pacs.to
Sign In Sign Up
  1. Home
  2. /
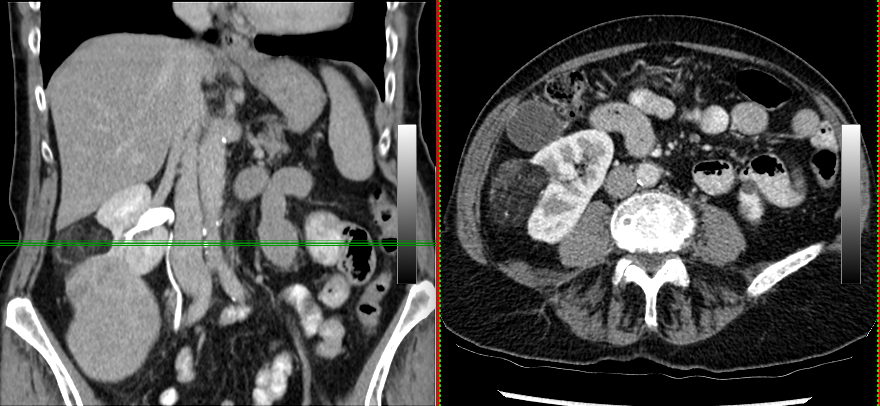
  3. Right Kidney Masses - fatty and solid. Angiomyolipoma with coexisting renal cell carcinoma