pacs.to
Sign In
Sign Up
Home
/
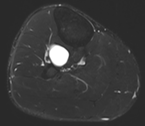
Ganglion cyst compressing deep common peroneal nerve