pacs.to
Sign In
Sign Up
Home
/
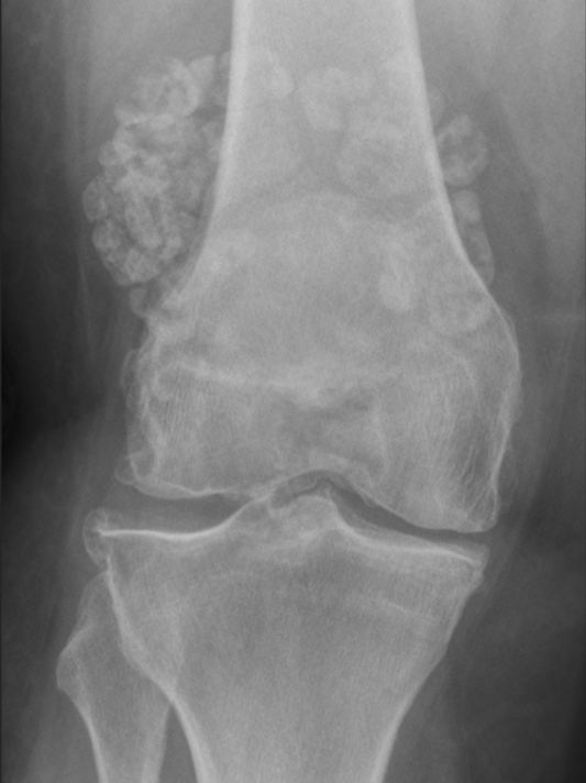
Synovial osteochondromatosis