pacs.to
Sign In
Sign Up
Home
/
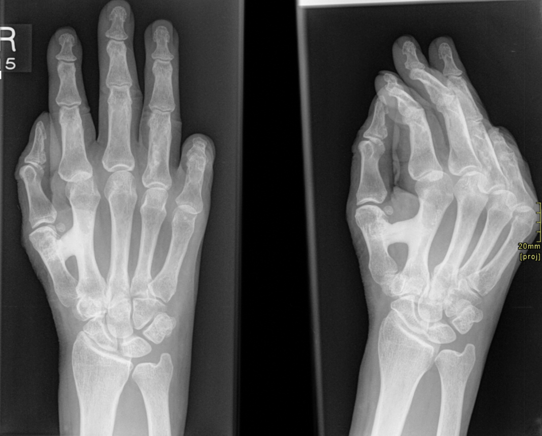
Ripon Hand - fused metacarpal dysplasia