pacs.to
Sign In
Sign Up
Home
/
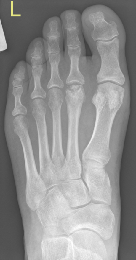
Freiburg osteonecrosis (AVN) of 2nd metatarsal head