pacs.to
Sign In
Sign Up
Home
/
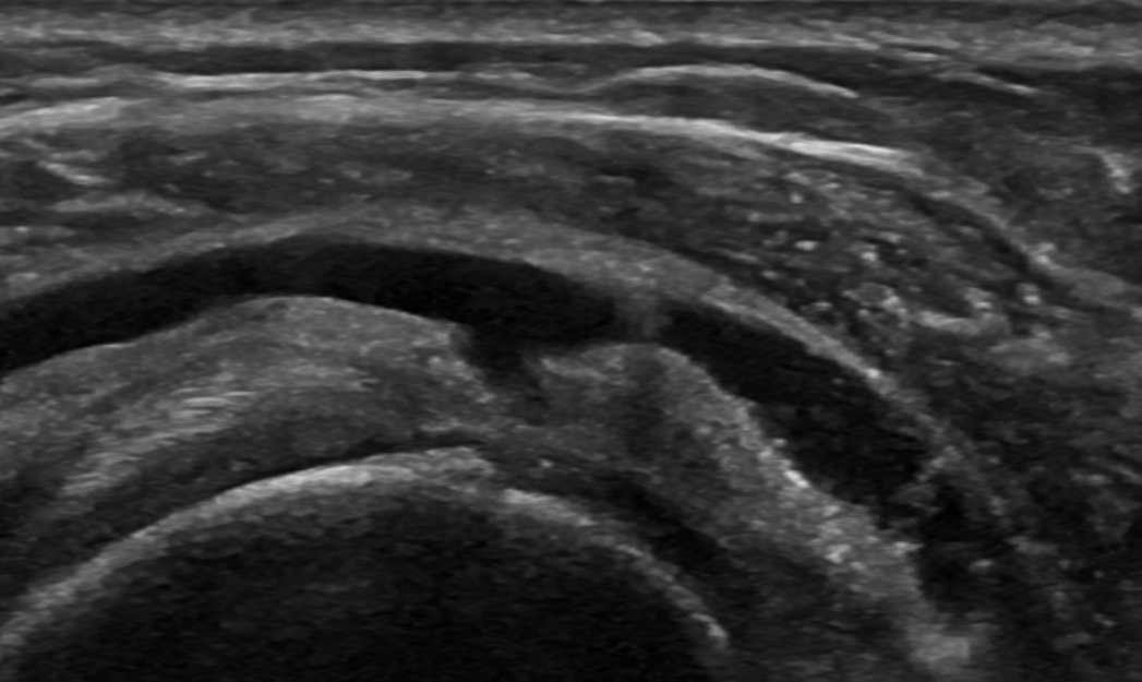
Supraspinatus bursal surface partial tear seen on bursography